CellScape™ Data Explorer
Explore high-resolution spatial proteomics data from real CellScape experiments.
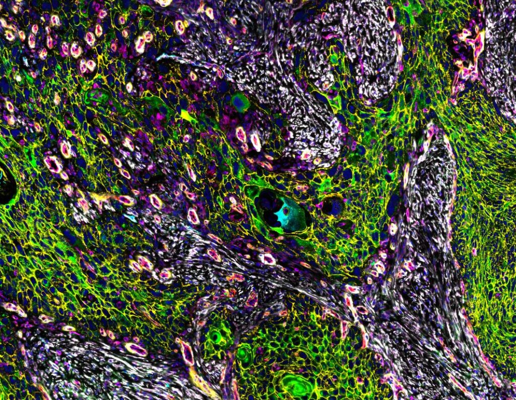
The CellScape Data Explorer gives you an interactive, in-browser view of real high-plex spatial proteomics datasets generated with VistaPlex™ Assay Kits and the simple, straightforward CellScape platform workflow. Each dataset showcases the CellScape platform’s ability to capture broad tissue architecture and unparalleled cellular detail within the same field of view, letting you zoom seamlessly from large-scale structure to single-cell features while maintaining best-in-class resolution and high dynamic range.
Across all datasets, you can toggle individual markers, survey vast or precise regions of tissue, and see real-world data from each of our VistaPlex Multiplex Assay Kits to evaluate staining specificity and marker localization. Integrated phenotype and segmentation overlays help you quickly visualize cellular organization, tissue compartments, and spatial relationships, providing a clear sense of panel performance and biological resolution without needing to download any files.
Use the CellScape Data Explorer to assess how the CellScape platform performs across diverse sample types and applications and preview the depth and quality of data the platform can generate for your research. These representative datasets highlight the quantitative, high-resolution spatial insights the CellScape platform makes possible, directly accessible in your browser.



