GeoMx®
Morphology Markers
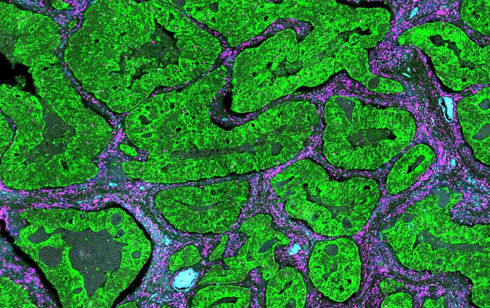
What are morphology markers?
Morphology explores the relationship between biological structures. Morphology markers help reveal the structural architecture of tissue and identify regions of interest (ROI).
With GeoMx DSP, fluorescently labeled antibodies and/or RNA probes can be used to inform the presence of anatomical structures, cell types, and compartments, which helps with the selection and segmentation of ROIs into distinct biological compartments for further high-plex digital profiling.






Morphology Marker Information
NanoString Morphology Marker Kits
These morphology markers are commonly used to profile tumor and immune compartments or neuronal populations. These fluorescent dye-conjugated antibodies are validated for a diverse array of tissues and GeoMx assays across mouse and human tissues. These kits are utilized with a SYTO 13 nucleic acid stain kit. The Morphology Kit configuration files are used to auto-populate key target information on the GeoMx scan setup step and can be downloaded here.
NanoString Qualified & Verified Morphology Markers
These markers are obtained from our partners including Abcam, Biolegend, and other vendors, and tested in GeoMx assays following the “Qualified” and “Verified” approaches. Qualified marker tests showed the expected staining pattern typically in a single tissue. Verified markers had gone through more extensive testing on multiple tissues, when possible, and were used for GeoMx ROI segmentation. Moreover, target specific positive tissue staining as verified by an experienced pathologist.
NanoString TAP Morphology Markers
The Technology Access Program (TAP) allows users to run small trial projects. Through this work, the program has developed a long list of morphology markers observed to work well with specific tissues under specific conditions. A list of successfully utilized antibodies, RNAscope probes, and the tested tissues has been compiled to help users with their research projects: TAP tested morphology markers
Community Verified Morphology Markers
The NanoString user community works with a wide range of morphology markers and tissue types. We are compiling a list of pre-screened markers that worked well with specific tissues by our customers. We encourage our users to share markers that have successfully been used in a GeoMx experiment. Let the research community know by submitting your verified morphology markers via this Community Verified Morphology Markers Form
Third-Party Morphology Markers
For RNA morphology targets, you can learn about our joint workflow solution with our partner Advanced Cell Diagnostics (ACD) and how to select qualified RNAscope probe combinations: ACD and NanoString Partnership
For antibody morphology markers, it is recommended to begin with those already validated for IF/IHC assays by our antibody partners, Abcam or Biolegend, or another provider. Once selected, it is important that they are tested using the specific staining protocols used for GeoMx. Please refer to Morphology Marker Guidelines for further details.
Canopy Biosciences is a highly experienced CRO in spatial biology and single-cell analysis research. Canopy has developed a list of NanoString verified markers and validated multiplex assays. This catalog covers key immunology, oncology, and neuroscience markers and demonstrates marker validation capabilities. For more info on Canopy’s services, specifically their GeoMx services and morphology marker validation, visit www.canopybiosciences.com.
| Target datasheets | Cell/structure Marked | Species / sample type | Fluorophore | Vendor |
|---|---|---|---|---|
| Acta2 | Fibroblasts, smooth muscle, cell motility | Mouse Frozen | AF488 | ThermoFisher |
| Aqp1 | Water-specific channel | Mouse FFPE | AF647 | Abcam |
| Epcam | Tumors; epithelial tissue | Mouse FFPE | AF488 | Abcam |
| Epcam | Tumors; epithelial tissue | Mouse Frozen | AF647 | Abcam |
| Gfap | Glial Fibrillary Acidic Protein in Mature Astrocytes | Mouse Frozen | AF647 | Novus |
| Gfap | Glial Fibrillary Acidic Protein in Mature Astrocytes | Mouse Frozen | AF594 | Novus |
| Gfap | Glial Fibrillary Acidic Protein in Mature Astrocytes | Mouse FFPE | AF532 | Novus |
| Gfap | Glial Fibrillary Acidic Protein in Mature Astrocytes | Mouse FFPE | AF488 | Novus |
| Gfap | Glial Fibrillary Acidic Protein in Mature Astrocytes | Mouse FFPE | AF647 | Novus |
| Gfap | Glial Fibrillary Acidic Protein in Mature Astrocytes | Mouse FFPE | AF647 | BioLegend |
| Gfap | Glial Fibrillary Acidic Protein in Mature Astrocytes | Mouse Frozen | AF647 | BioLegend |
| Gfap | Glial Fibrillary Acidic Protein in Mature Astrocytes | Mouse Frozen | DL594 | Novus |
| Gfap | Glial Fibrillary Acidic Protein in Mature Astrocytes | Mouse Frozen | AF532 | Novus |
| Gfap | Glial Fibrillary Acidic Protein in Mature Astrocytes | Mouse Frozen | AF532 | Novus |
| Gfap | Glial Fibrillary Acidic Protein in Mature Astrocytes | Mouse Frozen | AF647 | Novus |
| Gfap | Glial Fibrillary Acidic Protein in Mature Astrocytes | Mouse FFPE | AF647 | Novus |
| Gfap | Glial Fibrillary Acidic Protein in Mature Astrocytes | Mouse FFPE | AF594 | Novus |
| Iba1 | Glial cells | Mouse FFPE | AF647 | CST |
| Iba1 | Glial cells | Mouse Frozen | AF647 | CST |
| Laminin (Pan-Laminin) | Basement membrane; extracellular matrix | Mouse FFPE | AF532 | Novus |
| Laminin (Pan-Laminin) | Basement membrane; extracellular matrix | Mouse FFPE | AF488 | Novus |
| Map2 | Microtubules | Mouse FFPE | AF647 | Abcam |
| Map2 | Microtubules | Mouse FFPE | AF488 | Abcam |
| Mbp | Myelin Basic Protein, all neurons | Mouse FFPE | AF647 | BioLegend |
| Mbp | Myelin Basic Protein, all neurons | Mouse Frozen | AF647 | CST |
| Mbp | Myelin Basic Protein, all neurons | Mouse Frozen | AF594 | CST |
| Myh11 | Smooth muscle | Mouse FFPE | AF647 | Abcam |
| Nefh | Intermediate filaments, neurons | Mouse FFPE | AF594 | Novus |
| Nefh | Intermediate filaments, neurons | Mouse Frozen | AF594 | Novus |
| Tdp43 | Aggregates in ALS | Mouse FFPE | AF647 | Abcam |
| Tubb3 | Microtubules; Neurons | Mouse FFPE | AF647 | Abcam |
| Tubb3 | Microtubules; Neurons | Mouse FFPE | AF647 | BioLegend |
| AQP1 | Water-specific channel | Human FFPE | AF647 | Abcam |
| APP / β Amyloid | Alzheimer’s diseased brain plaques | Human FFPE | AF647 | Novus |
| CD103 / ITGAE | Intra-epithelial lymphocytes | Human FFPE | AF647 | Abcam |
| CD20 | B cells | Human FFPE | AF647 | Novus |
| CD20 | B cells | Human FFPE | AF647 | Abcam |
| CD20 | B cells | Human FFPE | AF488 | Abcam |
| CD4 | Most thymocytes | Human FFPE | AF647 | Abcam |
| CD57 / B3GAT1 | NK cells, CD8+ T cells, neural cells, striated muscle | Human FFPE | AF594 | BioLegend |
| CD68 | Macrophages | Human FFPE | AF488 | Novus |
| CD68 | Macrophages | Human FFPE | AF647 | BioLegend |
| CD68 | Macrophages | Human FFPE | AF594 | Novus |
| CD8a | Cytotoxic T lymphocytes | Human FFPE | AF594 | BioLegend |
| COL1A1 / Collagen I | Extracellular matrix | Human FFPE | AF647 | Abcam |
| ELA2 / Neutrophil Elastase | Neutrophils | Human FFPE | AF594 | Novus |
| ELA2 / Neutrophil Elastase | Neutrophils | Human FFPE | AF488 | Novus |
| GFAP | Glial Fibrillary Acidic Protein in Mature Astrocytes | Human FFPE | AF594 | Novus |
| GFAP | Glial Fibrillary Acidic Protein in Mature Astrocytes | Human FFPE | AF488 | Novus |
| GFAP | Glial Fibrillary Acidic Protein in Mature Astrocytes | Human Frozen | DL594 | Novus |
| GFAP | Glial Fibrillary Acidic Protein in Mature Astrocytes | Human Frozen | AF532 | Novus |
| GFAP | Glial Fibrillary Acidic Protein in Mature Astrocytes | Human Frozen | AF532 | Novus |
| GFAP | Glial Fibrillary Acidic Protein in Mature Astrocytes | Human Frozen | AF647 | Novus |
| GFAP | Glial Fibrillary Acidic Protein in Mature Astrocytes | Human Frozen | AF647 | Novus |
| GFAP | Glial Fibrillary Acidic Protein in Mature Astrocytes | Human FFPE | AF594 | Novus |
| GFAP | Glial Fibrillary Acidic Protein in Mature Astrocytes | Human Frozen | AF488 | Novus |
| HLA-G | Trophoblasts, thymic epithelial cells, tumors | Human FFPE | AF488 | Santa Cruz |
| IBA1 | Glial cells | Human FFPE | AF647 | CST |
| IBA1 | Glial cells | Human Frozen | AF647 | CST |
| KRT7 (Cytokeratin) | Epithelial cells | Human FFPE | AF647 | Abcam |
| KRT8/18 (Cytokeratin) | Epithelial cells | Human FFPE | AF594 | Novus |
| Laminin (Pan-Laminin) | Basement membrane | Human FFPE | AF594 | Novus |
| MAP2 | Microtubules | Human FFPE | AF488 | Abcam |
| MBP | Myelin Basic Protein, all neurons | Human FFPE | AF647 | BioLegend |
| MBP | Myelin Basic Protein, all neurons | Human Frozen | AF647 | CST |
| NEFH | Intermediate filaments, neurons | Human FFPE | AF647 | Novus |
| NEFH | Intermediate filaments, neurons | Human FFPE | AF594 | Novus |
| NEFH | Intermediate filaments, neurons | Human FFPE | AF594 | Novus |
| OCLN | Tight junctions | Human FFPE | AF594 | Novus |
| PD-1 | Activated T and B cells | Human FFPE | AF647 | Abcam |
| Tau | Neurons; Alzheimer’s diseased brain plaques | Human FFPE | AF647 | Abcam |
| Tau – Phospho (T181) | Neurons; Alzheimer’s diseased brain plaques | Human FFPE | AF594 | BioLegend |
| Tau – Phospho (T181) | Neurons; Alzheimer’s diseased brain plaques | Human FFPE | AF488 | BioLegend |
| Tau – Phospho (S404) | Neurons; Alzheimer’s diseased brain plaques | Human FFPE | AF488 | CST |
| Tau – Phospho (T205) | Neurons; Alzheimer’s diseased brain plaques | Human FFPE | AF488 | CST |
| TUBB3 | Microtubules in the central and peripheral nervous system | Human FFPE | AF647 | Abcam |
| APP / β Amyloid | Alzheimer’s diseased brain plaques | Human FFPE | AF647 | CST |
| APP / β Amyloid | Alzheimer’s diseased brain plaques | Human FFPE | AF594 | CST |
| APP / β Amyloid | Alzheimer’s diseased brain plaques | Human FFPE | AF488 | CST |
| CD163 | M2 macrophages and monocytes | Human FFPE | AF647 | Abcam |
| CD20 | B cells | Human FFPE | AF594 | Novus |
| CD3 | T lymphocytes | Human FFPE | AF647 | Novus |
| CD3 | T lymphocytes | Human FFPE | AF594 | Novus |
| CD3 | T lymphocytes | Human FFPE | AF532 | Novus |
| CD3 | T lymphocytes | Human FFPE | AF488 | Novus |
| CD31 | Endothelial cells | Human FFPE | AF647 | Abcam |
| CD31 | Endothelial cells | Human FFPE | AF488 | Abcam |
| CD68 | Macrophages | Human FFPE | AF647 | Santa Cruz |
| CD68 | Macrophages | Human FFPE | AF647 | Novus |
| CD68 | Macrophages | Human FFPE | AF532 | Novus |
| GFAP | Glial Fibrillary Acidic Protein in Mature Astrocytes | Human FFPE | AF647 | Novus |
| Gfap | Glial Fibrillary Acidic Protein in Mature Astrocytes | Mouse FFPE | AF532 | Novus |
| HLA-G | Trophoblasts, thymic epithelial cells, tumors | Human FFPE | AF647 | Santa Cruz |
| IBA1 | Glial cells | Human FFPE | AF594 | CST |
| KRT (Pan-Cytokeratin) | Epithelial cells | Human FFPE | AF594 | Novus |
| KRT (Pan-Cytokeratin) | Epithelial cells | Human FFPE | AF488 | Novus |
| Laminin (Pan-Laminin) | Basement membrane | Human FFPE | AF647 | Novus |
| MBP | Myelin Basic Protein, all neurons | Human FFPE | AF647 | CST |
| MBP | Myelin Basic Protein, all neurons | Human FFPE | AF488 | CST |
| OCLN | Tight junctions | Human FFPE | AF647 | Novus |
| Gfap | Glial Fibrillary Acidic Protein in Mature Astrocytes | Mouse FFPE | AF532 | Novus |
| Gfap | Glial Fibrillary Acidic Protein in Mature Astrocytes | Mouse FFPE | DL594 | Novus |
| Gfap | Glial Fibrillary Acidic Protein in Mature Astrocytes | Mouse FFPE | AF488 | Novus |
| Iba1 | Glial cells | Mouse FFPE | AF594 | CST |
| Iba1 | Glial cells | Mouse FFPE | AF488 | CST |
| Mbp | Myelin Basic Protein, all neurons | Mouse FFPE | AF647 | CST |
| AQP4 | Water-specific channel | Human FFPE | AF488 | Abcam |
| CD11c | Dendritic cells (antigen presenting) | Human FFPE | AF488 | Abcam |
| CD68 | Macrophages | Human Frozen | AF488 | Novus |
| CD138 | Cytoskeleton-interstitial matrix; Plasma cells, several tumors | Human FFPE | AF488 | BioLegend |
| EPCAM | Epithelial cells, tumors | Human FFPE | AF647 | Abcam |
| Epcam | Epithelial cells, tumors | Mouse Frozen | AF488 | Abcam |
| GFAP | Glial Fibrillary Acidic Protein in Mature Astrocytes | Human FFPE | AF488 | BioLegend |
| Gfap | Glial Fibrillary Acidic Protein in Mature Astrocytes | Mouse Frozen | AF594 | BioLegend |
| GFAP | Glial Fibrillary Acidic Protein in Mature Astrocytes | Human FFPE | AF647 | BioLegend |
| GFAP | Glial Fibrillary Acidic Protein in Mature Astrocytes | Human Frozen | AF647 | BioLegend |
| GFAP | Glial Fibrillary Acidic Protein in Mature Astrocytes | Human FFPE | AF647 | Novus |
| GFAP | Glial Fibrillary Acidic Protein in Mature Astrocytes | Human Frozen | AF488 | Novus |
| Gfap | Glial Fibrillary Acidic Protein in Mature Astrocytes | Mouse Frozen | AF488 | Novus |
| IBA1 | Glial cells | Human FFPE | AF488 | CST |
| KRT (Pan-Cytokeratin) | Epithelial cells | Human Frozen | AF594 | Novus |
| Laminin (Pan-Laminin) | Basement membrane | Mouse Frozen | AF594 | Novus |
| Lgr5 | Overexpressed in cancers of the ovary, colon, and liver | Mouse FFPE | AF594 | Novus |
| MAP2 | Microtubules | Human Frozen | AF647 | Abcam |
| Mbp | Myelin Basic Protein, all neurons | Mouse FFPE | AF488 | CST |
| MBP | Myelin Basic Protein, all neurons | Human FFPE | AF594 | CST |
| Mbp | Myelin Basic Protein, all neurons | Human Frozen | AF594 | CST |
| Mbp | Myelin Basic Protein, all neurons | Mouse FFPE | AF488 | BioLegend |
| Mbp | Myelin Basic Protein, all neurons | Mouse Frozen | AF647 | BioLegend |
| MOG | Myelin sheath | Human FFPE | AF647 | Abcam |
| MUC1 | Epithelial cancers; secretory epithelium | Human FFPE | AF594 | Novus |
| MUC1 | Epithelial cancers; secretory epithelium | Human FFPE | AF647 | Novus |
| Nefh | Intermediate filaments, neurons | Mouse Frozen | AF488 | Novus |
| Nefh | Intermediate filaments, neurons | Mouse Frozen | AF532 | Novus |
| Nefh | Intermediate filaments, neurons | Mouse Frozen | AF647 | Novus |
| PD-1 | Activated T and B cells | Human FFPE | AF647 | Abcam |
| PD-L1 | T and B cells, many tumor cells | Human FFPE | AF647 | Abcam |
| Tau – Phospho (T181) | Neurons; Alzheimer’s diseased brain plaques | Mouse Frozen | AF488 | BioLegend |
| Tau – Phospho (T181) | Neurons; Alzheimer’s diseased brain plaques | Mouse Frozen | AF594 | BioLegend |
| Tdp43 | Aggregates in ALS | Mouse Frozen | AF594 | Abcam |
| TDP43 | Aggregates in ALS | Human FFPE | AF647 | Abcam |
| Tdp43 | Aggregates in ALS | Mouse Frozen | AF647 | Abcam |
| Tubb3 | Microtubules in the central and peripheral nervous system | Mouse Frozen | AF647 | BioLegend |
| VIM | Intermediate filaments of mesenchymal origin; sarcomas | Human FFPE | AF488 | Abcam |
| VIM | Intermediate filaments of mesenchymal origin; sarcomas | Human FFPE | AF594 | Abcam |
| VIM | Intermediate filaments of mesenchymal origin; sarcomas | Human Frozen | AF594 | Abcam |
| Vim | Intermediate filaments of mesenchymal origin; sarcomas | Mouse Frozen | AF647 | Abcam |
| Vim | Intermediate filaments of mesenchymal origin; sarcomas | Mouse Frozen | AF594 | Santa Cruz |
| Vim | Intermediate filaments of mesenchymal origin; sarcomas | Mouse FFPE | AF594 | Santa Cruz |
| TUBB3 | Microtubules in the central and peripheral nervous system | Human FFPE | AF488 | Abcam |
| TNNI3 / Cardiac Troponin I | Myocardium | Human FFPE | AF488 | Abcam |
| Tdp43 | Aggregates in ALS | Mouse FFPE | AF594 | Abcam |
| Th | Neuronal marker | Mouse FFPE | PE | Abcam |
| PD-L1 | T and B cells, many tumor cells | Human FFPE | AF647 | Abcam |
| PD-L1 | T and B cells, many tumor cells | Human FFPE | AF647 | Abcam |
| NeuN | Post-mitotic neurons | Mouse FFPE | AF647 | Abcam |
| OLIG2 | Oligodendrocytes | Human Frozen | AF647 | Abcam |
| NeuN | Post-mitotic neurons | Human FFPE | AF647 | Abcam |
| NEFH | Intermediate filaments, neurons | Human Frozen | AF488 | Novus |
| MYH11 | Smooth muscle | Human FFPE | AF488 | Abcam |
| Mbp | Myelin Basic Protein, all neurons | Mouse FFPE | AF594 | BioLegend |
| MBP | Myelin Basic Protein, all neurons | Human FFPE | AF594 | BioLegend |
| Ly6G | Neutrophils | Mouse FFPE | AF647 | Novus |
| ICOS | Activated T cells | Human FFPE | AF647 | Abcam |
| HLA-G | Trophoblasts, thymic epithelial cells, tumors | Human FFPE | AF594 | Santa Cruz |
| Gfap | Glial Fibrillary Acidic Protein in Mature Astrocytes | Mouse FFPE | AF647 | Novus |
| GFAP | Glial Fibrillary Acidic Protein in Mature Astrocytes | Human Frozen | AF594 | BioLegend |
| Epcam | Tumors; epithelial tissue | Mouse FFPE | AF647 | Abcam |
| ELAVL4 / HUD | Neurons and oligodendrocytes | Human FFPE | AF647 | Santa Cruz |
| E-cadherin | Adherens junctions, active suppressor of many epithelial cancers | Mouse FFPE | AF647 | Fisher |
| E-Cadherin | Adherens junctions; active suppressor of invasion and growth of many epithelial cancers | Human FFPE | AF647 | Fisher |
| DES | Intermediate filaments of skeletal, visceral, and certain smooth muscle cells | Human FFPE | AF647 | Abcam |
| C-Kit / CD117 | Variety of tumor cells, differentiating GI stromal tumors | Human FFPE | AF647 | Novus |
| COL6A1 / Collagen VI | Extracellular matrix | Human FFPE | AF594 | Abcam |
| CD8a | Cytotoxic T lymphocytes | Human FFPE | AF647 | Abcam |
| CD8a | Cytotoxic T lymphocytes | Human FFPE | AF647 | BioLegend |
| CD57 / B3GAT1 | NK cells, CD8+ T cells, neural cells, striated muscle | Human FFPE | FITC | BioLegend |
| CD4 | Most thymocytes | Human Frozen | AF647 | Abcam |
| CD20 | B cells | Human FFPE | AF488 | Novus |
| CD163 | M2 macrophages and monocytes | Human FFPE | AF594 | Abcam |
| CD11c | Dendritic cells (antigen presenting) | Human FFPE | AF647 | Abcam |
| CD11c | Dendritic cells (antigen presenting) | Human FFPE | AF594 | Abcam |
| CD11b | Myeloid lineage cells | Human FFPE | AF647 | Novus |
| ACTA2 | Fibroblasts, smooth muscle, cell motility | Human FFPE | AF647 | Abcam |
| Acta2 | Fibroblasts, smooth muscle, cell motility | Mouse FFPE | AF488 | Abcam |
| Acta2 | Fibroblasts, smooth muscle, cell motility | Mouse FFPE | AF594 | ThermoFisher |
| ACTA2 | Fibroblasts, smooth muscle, cell motility | Human FFPE | AF594 | ThermoFisher |
| ACTA2 | Fibroblasts, smooth muscle, cell motility | Human Frozen | AF488 | Abcam |
| ACTA2 | Fibroblasts, smooth muscle, cell motility | Human FFPE | AF488 | Abcam |
*For detailed clone information, download the complete list here.
Related Resources
