43rd Annual Meeting of the German Pancreas Club (DPC)

Tradeshow/Conference
University Hospital BonnLink

The German Pancreas Club meeting is the largest meeting of pancreatologists in German-speaking countries. The 43rd meeting will showcase the steady progress in all areas: from experimental basic science, translational and biostatistics to clinical practice in gastroenterology, oncology and surgery to quality assurance. A particular challenge, but also of great potential, is the networking and cooperation of specialists from all areas and to hear from the latest clinical and basic science innovations! In the tradition of the DPC, young scientists are especially encouraged to present their findings.

You can meet the NanoString team at booth #9.

Workshop information

Date: February 15th

Location: University Hospital Bonn; Lehrgebäude A10, Raum 102/103, Venusberg-Campus 1 53127 Bonn

Time: 8am – 1 pm

Organizer: Alexander Semaan, MD PhD, Universitätsklinikum Bonn

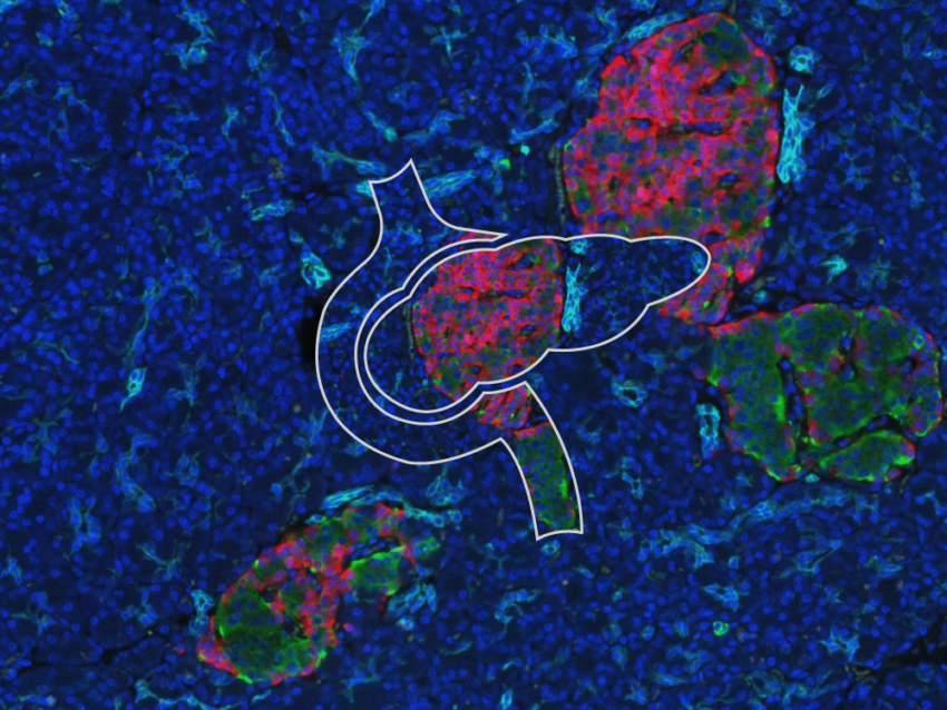
During this workshop, we will showcase our innovative discovery and translational research spatial solutions and how they can be applied in the field of pancreatology.  

In the introductory part of the workshop, Christoph Koenig will present how our spatial platforms allow researchers to combine morphology-driven spatial information with multiomic data.

Focusing on how one can achieve multicellular analysis with GeoMx® Digital Spatial Profiler, he will provide examples of how researchers have used our solutions to resolve multicellular dynamics in pancreatic cancer. In addition, we will highlight how the newly launched GeoMx® IO Proteome Atlas was combined with the Human Whole to dissect the complex interplay between heterogenous pancreatic tumor cells and the surrounding immune microenvironment.

In the hands-on part of the workshop, Christoph Koenig will demonstrate how the GeoMx DSP instrument works and how to go from sample to data as well as how to perform data analysis with the support of our GeoMx Data Analysis software to achieve publishable results.

To schedule a meeting with our team during the 43rd DPC, please contact Adile Acarkan.

Speakers

Alexander Semaan, MD PhD

Resident/Fellow, Department of General, Visceral, Thoracic and Vascular Surgery Center of Integrated Oncology (CIO) Cologne-Bonn, University of Bonn

Christoph König

Senior Product Application Scientist, NanoString