The 2023 Spatial Biology Image Contest winners present their results
Virtual Seminar
We invite you to join our 2023 Spatial Biology Image Contest winners as they show us the science behind their stunning images and why they used GeoMx Digital Spatial Profiler to dissect the molecular composition of their tissue of interest.
Angela Merrell from Presage Biosciences will share us how she used the GeoMx Cancer Transcriptome Atlas to assess 8 different drugs and drug combination areas on a primary oral cavity tumor in the context of a Phase 0 Clinical Trial.
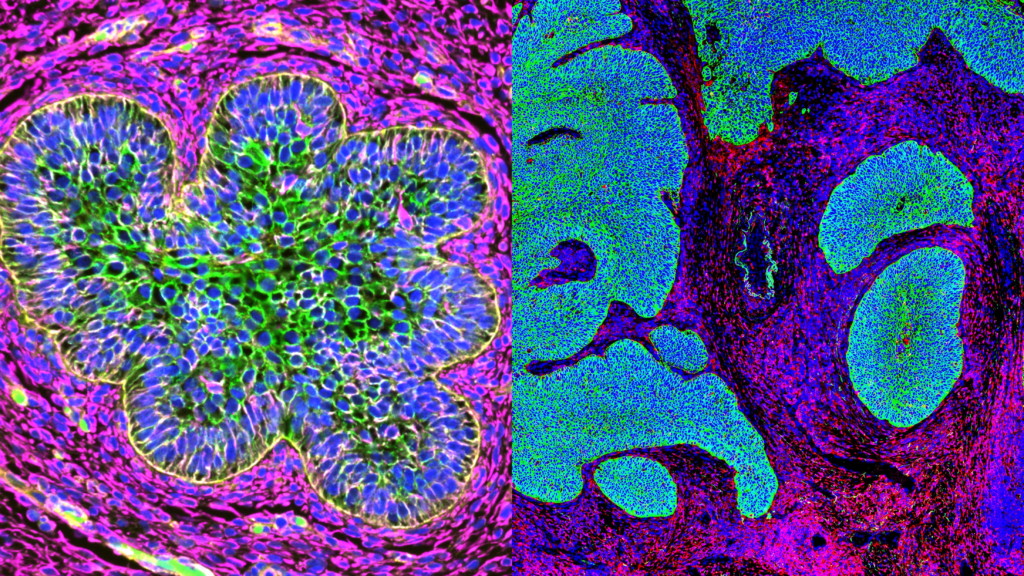
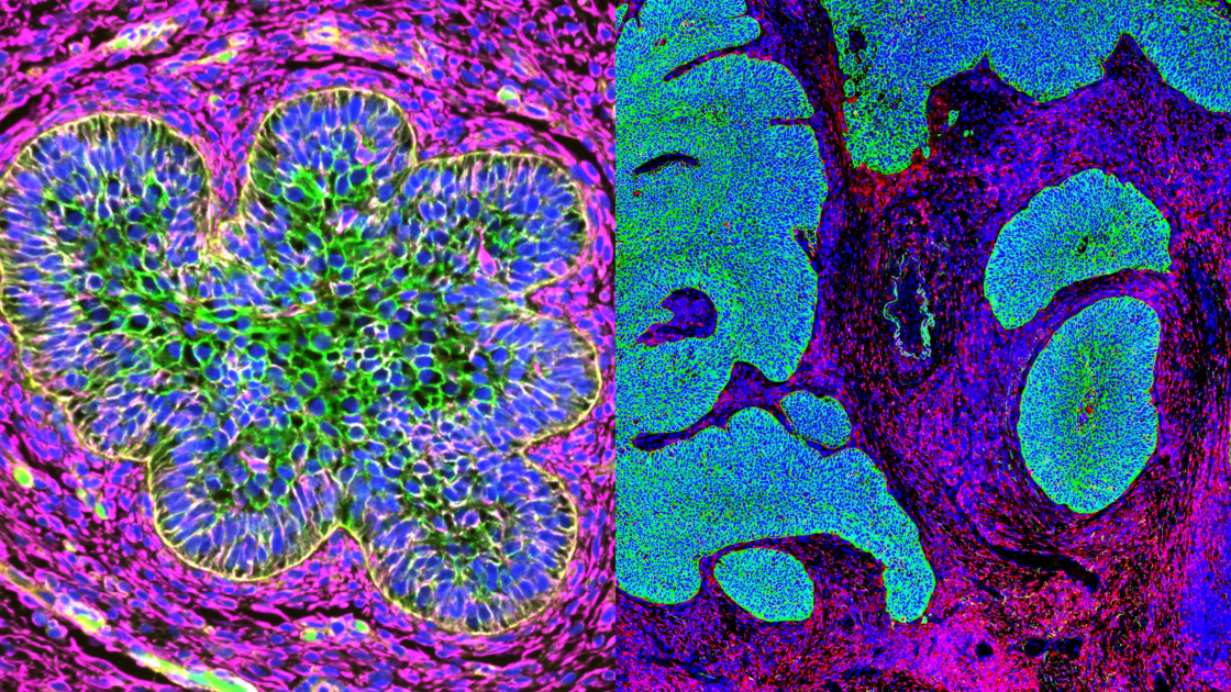
Laetitia Lecante from University of Aberdeen will present her work on sex-dimorphism in the prenatal mammary bud transcriptome. Using GeoMx, she generated new data on the regulation of sex-specific development of the human prenatal mammary bud.
SESSION AGENDA
| 8:00AM PST | 3:00PM BST | Welcome & Introduction to GeoMx DSP by NanoString Technologies |
| 8:15AM PST | 4:15PM BST | Tumor Microenvironment at Injection Site in Patient Oral Cancer, Angela Merrell, Presage Biosciences |
| 8:35AM PST | 4:35PM BST | Blossoming Beginnings: The Delicate Beauty of Mammary Buds, Laetitia Lecante, University of Aberdeen |
| 8:55AM PST | 4:55PM BST | Live Q&A |

Speakers
Angela Merrell
Researcher, Presage Biosciences