Bruker Spatial Biology Blog

Category: Spatial Biology

Spatial Biology

Optimizing Multiplex Immunofluorescence Assays on the CellScape Platform

Over the last few years, more and more researchers have embraced multiplex immunofluorescence (mIF), and for good reason. The ability to visualize many biomarkers in a single tissue section can…
Bruker Spatial Biology / June 4, 2025

Spatial Biology

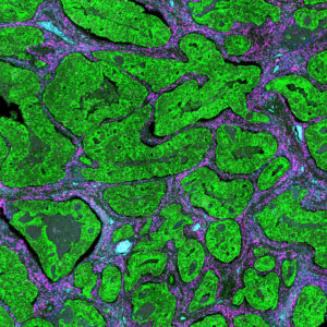
Introducing Enhanced Photobleaching in Cyclic Immunofluorescence for Spatial Biology

FFPE tonsil, captured on the CellScape Platform with EpicIF Technology. Bruker Spatial Biology is pleased to introduce EpicIF™ signal removal technology for the CellScape™ Precise Spatial Proteomics platform. EpicIF technology empowers high-plex…
Bruker Spatial Biology / October 28, 2024

Spatial Biology

Spatial Biology Just Got Bigger

Introducing CellScape™ Whole-Slide Imaging Chamber Now you can convert any standard microscope slide into a microfluidic chamber for automated multiplex staining, high-resolution imaging, and safe sample archiving. Read more about…
Bruker Spatial Biology / May 18, 2024

Canopy Biosciences Spatial Biology

Spatial Biology: What it is, why it matters, and how to access it

This article will explore the general topic of spatial biology, providing you with an overview of the field, describing why it is an important area of emerging research, and sharing…
Bruker Spatial Biology / February 6, 2024

Spatial Biology

NanoString Powered by NVIDIA GPU Technology Accelerates Scientific Discovery and the Age of Spatial Biology

For researchers studying diseases that cruelly take the lives of millions — Alzheimer’s disease, lung, colon, breast, and pancreatic cancer, among others — it has been a long-held dream to…
Sriya Malladi and Meg O'Conor / January 9, 2024

CosMx SMI Spatial Biology

Complex Cell Segmentation and Its Significance in Spatial Biology

In research, scientists are continually pushing boundaries to gain deeper insights into biology, medicine, and drug discovery. Single-cell spatial imaging has emerged as a powerful technology in the field of…
Bruker Spatial Biology / October 30, 2023

Multiomics Spatial Analysis Spatial Biology Spatial Transcriptomics

GeoMx® DSP Spatial Proteogenomics datasets now available on Illumina® BaseSpace™ Sequence Hub

NanoString and Illumina have collaborated to release two new demo datasets of GeoMx Digital Spatial Profiler (DSP) data on the Illumina BaseSpace Sequence Hub (BSSH) cloud.  Spatial proteogenomics enables new…
Megan Vandenberg, Margaret Hoang and Sophie Wehrkamp-Richter / September 14, 2023

Spatial Biology

Why is the human proteome important?

The Human Protein Atlas is one of the world’s largest biological databases, containing spatial expression profiles for all known proteins expressed in human organs and tissues. It contains a vast…
Nirupama Deshpande / July 7, 2023

Spatial Biology

What are immunofluorescence techniques?

Tissue and cell samples constitute the main source of samples for protein or RNA expression analysis in biology and help us understand how cells interact, organize themselves, and drive various…
Nirupama Deshpande / July 6, 2023
CosMx tissue image

Spatial Biology

What are NanoString platforms used for?

A pioneer in the field of spatial biology, NanoString Technologies has developed automated workflow platforms enabling researchers to visualize and quantify gene and protein expression in tissue sections down to…
Nirupama Deshpande / June 29, 2023

Spatial Biology

Situating Single Cell RNA-seq in the Context of Multiomics

Cells, the building blocks of all life, are built from biological molecules such as proteins and RNA. Biological molecules perform all the functions of living cells, from DNA replication to…
Geoffrey Hummelke / June 2, 2023

CosMx SMI GeoMx DSP Spatial Biology

Single-Cell Spatial Surpasses Single-Cell Sequencing

Modern biology research is deeply interested in discovering the fundamental mechanics that operate within an organism of interest. Since the fundamental unit of all living organisms is the cell, it…
Geoffrey Hummelke / May 11, 2023