Tips when Generating Single-Cell Spatial Data: Post Run H&E and Antibody Staining
We are excited to share the third installment of tips for successful CosMx® SMI single-cell spatial runs at 1000-plex. Our first installment of tips focused on data by tissue and disease type as well as tissue-specific sample preparation considerations, while our second installment focused on evaluating tissue block quality, section quality, heterogeneity, and autofluorescence. Here we focus on post-run H&E staining protocols.
The CosMx® SMI and decoder probes are not offered and/or delivered to the Federal Republic of Germany for use in the Federal Republic of Germany for the detection of cellular RNA, messenger RNA, microRNA, ribosomal RNA and any combinations thereof in a method used in fluorescence in situ hybridization for detecting a plurality of analytes in a sample without the consent of the President and Fellows of Harvard College (Harvard Corporation) as owner of the German part of EP 2 794 928 B1. The use for the detection of cellular RNA, messenger RNA, microRNA, ribosomal RNA and any combinations thereof is prohibited without the consent of the President and Fellows of Harvard College (Harvard Corporation).
Remove Flow Cells
You will need the following materials and reagents for this step: staining jars, Xylene, razor blade, tape, Kimwipes, 2X SSC.
Caution
Flow cell removal involves the use of a razor blade and may result in broken glass. The blade and glass present laceration hazards. Follow safety guidelines and wear proper PPE (e.g., hand protection, eye protection, etc.) when performing this step. Dispose of sharps and glass appropriately following your laboratory’s safety policy.
Following the post-run clean, remove all flow cells to be imaged from the instrument and place into a staining jar containing Xylene. Leave flow cells in Xylene overnight at room temperature to loosen the flow cell adhesive and allow for easier coverslip removal.
The following day, take proper precautions and carefully remove the flow cell coverslip.
- Carefully dry the flow cell using a clean Kimwipe being careful to not apply pressure directly to the tissue containing area of the flow cell.
- Apply a section of tape directly to the top of the flow cell ensuring the entire coverslip is covered but the edges are left free of tape. This will prevent any glass from damaging the tissue should the coverslip crack or break during removal.
- Use a clean razor blade to lift an edge of the coverslip and then gently slide the razor around the edge of the coverslip to lift the remaining edges (being cautious to avoid injuring your free hand or fingers).

After removing the flow cell coverslip, remove the remaining gelatinous adhesive with the razor and Kimwipe. Wipe off any residual Xylene without allowing tissue to dry, and store in 2X SSC at 4˚C until staining.
For the H&E staining protocol, continue to the next section. To continue to the Immunofluorescence (IF) staining protocol (Antibody staining), see below.
Post Run H&E Staining Protocol
Post Run H&E Staining Preparation
You will need the following materials and reagents for this step: staining jars, SelecTech Hematoxylin 560 (Leica Biosystems 3801570), SelecTech Defining Solution (Leica Biosystems 3803590), SelecTech Blue Buffer 8 (Leica Biosystems 3802915), SelecTech Alcoholic Eosin Y 515 (Leica Biosystems 3801615), MM24 Mounting Medium (VWR 3801120), Xylene, distilled water (dH2O).
Dilute SelecTech Blue Buffer 8 1:20 in distilled water (dH2O) before use.
Prepare a total of 16 total staining jars for the H&E staining steps:
Table 1: Prepare Staining Jars
Post Run H&E Staining
Due to the hazardous properties of Xylene, the Xylene steps should be done in the hood following your laboratory guidelines. Hematoxylin, post-hematoxylin water, and Alcoholic Eosin Y are considered dye-containing waste and should be disposed of properly. Defining solution contains alcohol and should be disposed of properly. Dispose of all other chemical waste following your laboratory guidelines.
The following steps are done at room temperature unless otherwise noted:
- Remove slides from 2X SSC and gently submerge slides into the first dH2O wash for 5 minutes.
- Transfer slides to the second jar of dH2O and wash for 5 minutes.
- Remove from dH2O and gently immerse slides into Hematoxylin and wash for 3 minutes.
- Transfer slides to dH2O (3) and wash for 1 minute.
- Transfer slides to Defining solution and gently move slides up and down 5 times to wash (about 5 seconds).
- Transfer slides to dH2O (4) and wash for 1 minute.
- Transfer slides to Blue Buffer 8 and wash for 1 minute and 30 seconds.
- Transfer slides to final dH2O jar (dH2O (5)) and wash for 1 minute.
- Transfer slides to Alcoholic Eosin Y and incubate for 2 minutes.
- Transfer slides to the first 95% Ethanol wash (1) and wash for 30 seconds.
- Transfer slides to second 95% Ethanol wash (2) and wash for 30 seconds.
- Transfer slides to the first 100% Ethanol wash (1) and wash for 30 seconds.
- Transfer slides to second 100% Ethanol wash (2) and wash for 30 seconds.
- Carry staining jar to fume hood and transfer slides to the first Xylene wash. Wash slides for 1 minute.
- Transfer slides to Xylene 2 and wash for 1 minute.
- Transfer slides to final Xylene wash, and wash for 1 minute.
Apply Mounting Media and Coverslip
Prior to mounting the coverslip, ensure that the slide is dry. Moisture on the surface of the slide may result in poor mounting.
Wipe away any residual droplets with a Kimwipe being careful not to touch the tissue with the Kimwipe.
- Place slides on a flat, clean, non-absorbent work surface.
- Using a 1000 μL pipette, add 150-200 μL mounting media to uniformly cover the entire tissue area.
- Apply the coverslip at an angle on one end of the slide. Slowly lower the coverslip, without introducing bubbles. Allow mounting media to spread and settle.

Samples may be stored temporarily at 4°C and should be imaged within 3 days after mounting.

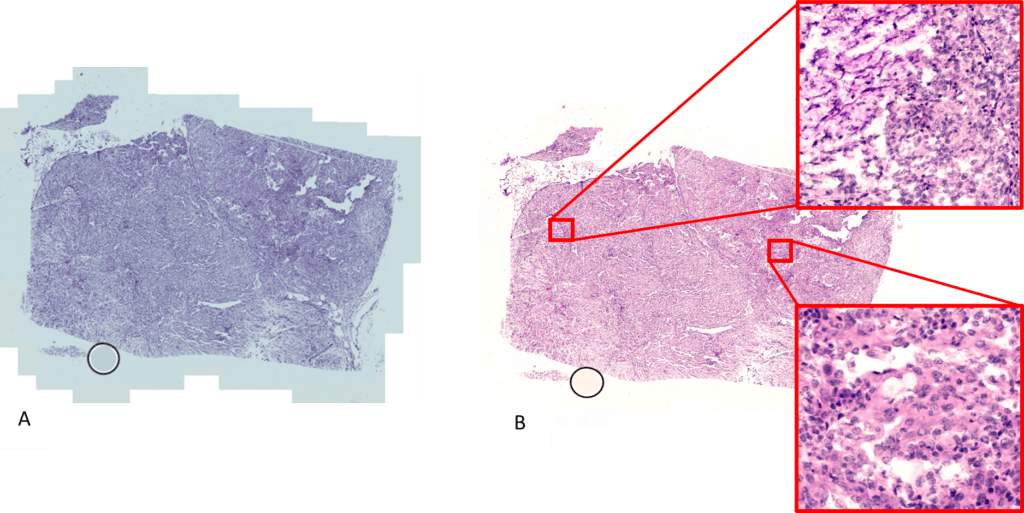
Some loss of staining efficiency is expected during the post-run H&E. However, the following steps can be used to improve imbalanced H&E images (Figure 4):
- Non-linear transform of the raw images (e.g., czi format images)
- Log-transform (using ImageJ/Fuji)
- Gamma-transform (using ImageJ/Fuji)
- Rescale the intensity histograms for RGB channels (ImageJ)
- Rebalance the signal ratio between R and B channels (ImageJ)
- Enhance Red
- Suppress Blue
- Adjust the final appearance of the image.
- Use Green to finetune white balance.

Post-run Immunofluorescence Staining Protocol
You will need the following materials and reagents for this step: staining jars, 2X SSC, compatible fluorescent labeled antibodies, staining tray with cover.
- Prepare 5 staining jars of 2X SSC.
- Following flow cell removal, transfer slides from 2X SSC to a new staining jar of 2X SSC and wash for 5 minutes.
- During wash steps, prepare antibodies according to manufacturer specifications. Antibody concentrations may need to be adjusted based on empirical testing.
- Transfer slides to second staining jar of 2X SSC and wash for an additional 5 minutes.
- After final SSC wash, gently tap slides on a clean Kimwipe to remove excess SSC and lay flat in a staining tray.
- Apply up to 200 μL of prepared antibody directly to the tissue. Gently move the tray side to side as needed to ensure that the antibody stain covers the entire tissue.
- Cover tray and incubate slides for 1 hour at room temperature.
- Following incubation, gently tap the slides on a clean Kimwipe to remove excess antibody stain and transfer slides to the next staining jar of 2X SSC. Wash for 5 minutes.
- Transfer slides to the next staining jar of 2X SSC and wash for 5 minutes.
- Transfer slides to the final staining jar of 2X SSC and wash for 5 minutes.
- Coverslip slides and, for best results, continue directly to imaging.
Samples may be stored temporarily at 4°C covered and protected from light and should be imaged within 3 days.

The following antibodies have been tested by NanoString for post-run IF staining:
NOTE: these antibodies have been tested but not yet validated. The use of any antibody may require empirical testing and optimization. This protocol is optimized for the use of primary conjugated antibodies for post-run IF staining.
Additional antibodies may be used but will require empirical testing. For a list of antibodies and morphology markers tested with NanoString’s GeoMx® DSP platform, which should be suitable for use with post-run CosMx SMI tissue, visit https://brukerspatialbiology.com/products/geomx-digital-spatial-profiler/geomx-morphology-markers/.
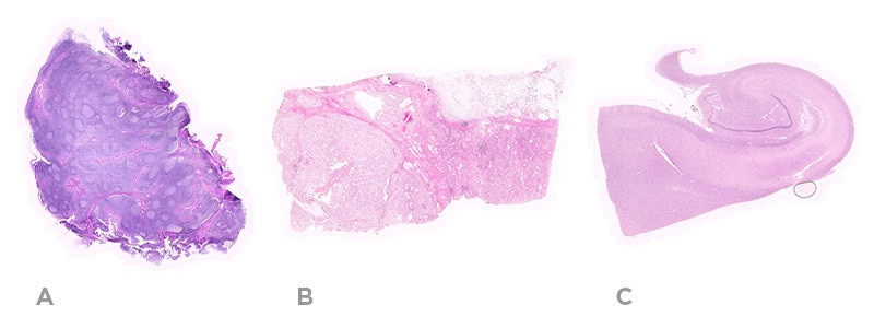
Special thanks to the Chun lab at the Cumming School of Medicine, University of Calgary; the Ginhoux lab at the Singapore Immunology Network, Agency for Science, Technology, and Research; and the Parfitt Ophthalmology Discovery Research lab at AbbVie for permission to publish the post-run IF images of their tissue samples run through the NanoString Technology Access Program (Figure 5A, B, and C respectively).
Thank you for choosing CosMx. If you have any further questions or need assistance, please don’t hesitate to contact our Support team (support.spatial@bruker.com).