What is Single-Cell Imaging?
Why is a Single Cell Important?
Cells are a fundamental unit of life. A comprehensive understanding of how cells organize themselves in different layers of information to form tissues is not yet fully achieved. Further, no matter how seemingly homogeneous a tissue might appear, it contains a diverse population of cells, all of which represent different manifestations of that tissue type.
Single-Cell Technologies
Development of technologies allowing the systematic investigation of single cells, including cellular regulatory mechanisms and processes – differentiation, cell fate decisions, cell heterogeneity, and signaling pathways – are critical to understanding the biological architecture and function in normal as well as diseased tissues.
Diseases such as cancer have benefited tremendously from single-cell analysis, as it often starts with a single cell which then spreads spatially as the disease progresses. Thus, various aspects of cancer research, such as clonal evolution of cancer, tumor and immune cell interactions, and intra-tumor cell heterogeneity, can now be investigated at the level of a single cell.
Why is Single-Cell Analysis Important?
Single-cell analysis encompasses the study of genomics, transcriptomics, proteomics, and metabolomics at single-cell resolution. As cells are the organism’s building blocks, they are organized in different layers of information to form tissues, and the position of each cell within a tissue has a physiological or morphological function.
Analysis at the level of a single cell can provide a comprehensive understanding of the intricate gene expression networks that regulate organism development. Major biological topics such as cancer, stem cells, and aging benefit from single-cell analysis, for example, the genetic evolution of cancer, characterizing heterogeneity in a cell population, and cell fate decisions, all of which add value to diagnosis and treatment.
What is Single-Cell Technique?
Single-cell techniques are advances in single-cell manipulation and amplification that have enabled the study of genomics, transcriptomics, and epigenomics at the level of a single cell. The single-cell techniques can be categorized into either method for single-cell isolation or quantification of multiple types of transcripts at the single-cell level.
Single-Cell Isolation Technique
Several single-cell isolation methods have been developed; they vary in the number of cells they isolate and how the cells are selected, e.g., laser capture dissection. For generating single-cell transcriptomics data, a range of methods is available, like droplet-based methods that offer high cell throughput and plate-based methods that provide higher resolution in each cell.
Droplet Single-Cell Technique
Droplet methods are based on microfluidic platforms where individual cells are captured in nanolitre-sized droplets that are loaded with reagents and unique labels for reverse transcription and transcript labeling to take place. The droplet suspension is later broken down for the pooling of cell libraries before sequencing.
Plate-Based Single-Cell Technique
Plate-based methods on the other hand, involve capturing or sorting cells on multi-well plates or microfuge tubes, followed by Fluorescence-Activated Cell Sorting (FACS) based sorting. This technique tends to provide higher-quality libraries at the cost of lower cellular throughput.
What is Single-Cell Spatial Transcriptomics?
Single-cell spatial transcriptomics is the analysis of mRNA expression profile with spatial context at the level of a single cell. Each cell has a unique transcriptomic fingerprint, as gene expression patterns can be heterogeneous even amongst similar cells in both standard and abnormal cell states.
Thus, the application of single-cell spatial transcriptomics is valuable for understanding more nuanced spatial variables of gene expression, such as the enrichment of ligand-receptor expression at the interface of interacting cells or cell lineage relationships during development.
Single-Cell RNA Sequencing Technique
The most used technology to date to measure mRNA transcripts within each cell is the single-cell RNA sequencing (scRNA-seq) technique. But a major drawback of these technologies is that they fail to capture positional information of the RNA transcript as they require tissue dissociation and cell isolation.
Single-Cell Spatial Transcriptomics Technique
On the other hand, spatial transcriptomics techniques use intact tissue sections, spatial barcoding, or in situ hybridization to retain positional information and can be categorized into two groups: profilers that resolve high throughput data, often at the level of the whole transcriptome but do not have the single-cell resolution, and imagers that provide single-cell and subcellular resolution using in situ reagents but with a low throughput than the profilers.
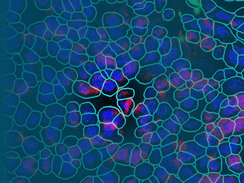
Single-Cell Imaging Technique
Single-cell imagers use sequential cycles of probe hybridization and imaging and offer the potential to combine the benefits of scRNA-seq analysis with added spatial resolution at single-cell or even subcellular resolution. A recently developed technology for spatial single-cell imaging, the CosMx Spatial Molecular Imager (SMI), is an integrated system with mature cyclic fluorescent in situ hybridization (FISH) chemistry, high-resolution imaging readout, interactive data analysis, and visualization software. This enzyme-free, amplification-free, hybridization-based single-cell transcriptomics technology can detect about a thousand different types of RNA transcripts spatially at a resolution of <50 nm.
For Research Use Only. Not for use in diagnostic procedures.
The CosMx® SMI and decoder probes are not offered and/or delivered to the Federal Republic of Germany for use in the Federal Republic of Germany for the detection of cellular RNA, messenger RNA, microRNA, ribosomal RNA and any combinations thereof in a method used in fluorescence in situ hybridization for detecting a plurality of analytes in a sample without the consent of the President and Fellows of Harvard College (Harvard Corporation) as owner of the German part of EP 2 794 928 B1. The use for the detection of cellular RNA, messenger RNA, microRNA, ribosomal RNA and any combinations thereof is prohibited without the consent of the President and Fellows of Harvard College (Harvard Corporation).
